3D 구강 데이터 분석 AI
AI-powered 3D Oral Data Analysis
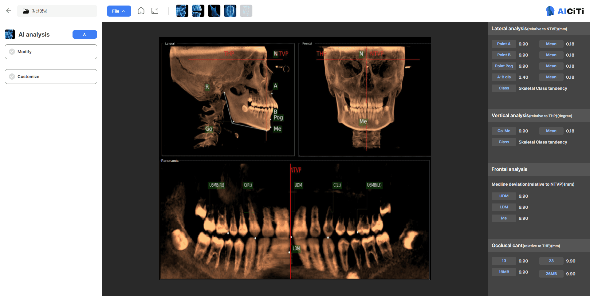
구강 스캔 데이터를 자동 분석하여 치아 상태와 골격 정렬을 정밀하게 파악
교정 치료 시뮬레이션
Orthodontic Simulation (Virtual Setup)
치아 이동 과정을 3D로 시뮬레이션하고 치료 완료 후 결과를 가상으로 제공


치아 교정 데이터를 AI로 분석하고 3D 시뮬레이션으로 예측하는 인공지능 치과 교정 프로그램
AICITI
PC Web
NestjsMySQLReact
2025.02 ~ 2025.06
치아 교정 데이터를 AI로 분석하고 3D 시뮬레이션을 통해 치료 결과를 예측하는 디지털 교정 진단 시스템입니다. 구강 스캔 데이터 분석, 교정 치료 시뮬레이션, 맞춤형 진단 리포트를 통합하여 의료진과 환자가 치료 과정을 직관적으로 이해할 수 있도록 설계했습니다.
구강 스캔 데이터를 자동 분석하여 치아 상태와 골격 정렬을 정밀하게 파악
치아 이동 과정을 3D로 시뮬레이션하고 치료 완료 후 결과를 가상으로 제공

교정 난이도, 예상 기간, 주요 과제를 포함한 진단 리포트를 자동 생성
3D 모델과 대시보드를 통해 환자가 치료 과정을 쉽게 이해할 수 있는 인터페이스 제공

고해상도 구강 데이터를 웹/앱 환경에서 원활하게 렌더링하고 조작할 수 있는 인터페이스 구현
다양한 의료 데이터를 효율적으로 탐색할 수 있도록 최적화된 정보 구조 설계

복잡한 교정 데이터를 직관적으로 이해할 수 있도록 차트 및 시뮬레이션 UI 구성
의료 서비스에 적합한 안정적이고 집중도 높은 디자인 시스템 적용
